【双语】【疾控科普】带您了解梅毒防控小知识...
全球平均每分钟就有一人死于艾滋病!科学防治,让“艾”远离!...
要真正达到U=U,一个感染者要满足至少5个条件...
母婴传播艾滋病预防措施要牢记...
时至今日,一说到艾滋病,公众往往都会“谈艾色变”……认为感染上艾滋病,就如同被判了死刑,有的人甚至因此患上了“艾滋病恐惧症”。 ...
时至今日,一说到艾滋病,公众往往都会“谈艾色变”……认为感染上艾滋病,就如同被判了死刑,有的人甚至因此患上了“艾滋病恐惧症”。...
HIV的“创业”日记...
刚查出来梅毒,现在天天找借口躲在公司,不敢回家。害怕把梅毒传播给爱人、孩子,如果没治好前回去,家人会有危险吗?”今天就来聊一...
随着抗反转录病毒治疗(cART)的普及,HIV/AIDS 患者的生存期显著延长,曾经的 “绝症” 已逐渐转变为可长期管理的慢性疾病...
正文: 有效的 HIV 治疗在加拿大和其他高收入国家越来越多地使用。然而在延寿的同时,心血管疾病、糖尿病和高血压等年龄相关疾病的发...
瑞士一项研究的结果表明,接受抗逆转录病毒治疗(ART)的人群中,持续的低水平病毒血症(定义为150-200拷贝/毫升)与后期的病毒学失败相关,应...
1从天价到可及,一场全球健康的价格革命 2025年9月24日,一项关于HIV预防药物的重大协议正式宣布:新型长效注射药Lenacapavir,将从原...
【双语】当怀疑感染梅毒时需要做哪些检查?...
【双语】| “沉默的杀手”——丙型肝炎...
【双语】艾滋病暴露前预防(PrEP),可以自己买药吃吗?...
【双语】梅毒积极治疗≠盲目过度治疗,如何明智选择治疗方式呢?...
为什么感染HIV后需要立即治疗?...
【双语】科普 | 性病和艾滋病一样吗?它们之间有什么区别?...
【双语】艾滋真的很可怕(有图,慎点......)...
2013年秋天,S城市血站,J主任在实验室进行常规的筛查实验。输血安全重于一切。血站随后联系了这名献血者,在征得其知情同意后,展开了为...
本文报告了一例来自中国广西的病例,患者为一名年仅23岁的男性晚期艾滋病(AIDS)患者,在感染猴痘后病情急剧恶化,尽管经过积极救治,最终因...
【双语】泡温泉、坐马桶会染上梅毒?这篇文章都给你讲清楚!...
有朋友跑来问:最近刷视频总刷到大学生,还有高中生感染艾滋病的!为什么学生艾滋病患者越来越多了?今天就来聊一下这个“敏感&rdq...
抗逆转录病毒疗法(ART)的普及让 HIV 病毒载量 “归零” 成为可能,但超过 40% 的患者即便病毒得到抑制,仍难逃记忆力衰退...
提高CD4/CD8比值没有“速效药”,就像修复一座破损的城池,既要阻止外敌病毒入侵,又要修补城墙减少炎症损伤,还要训练士兵(健康生活方式)...
艾滋病(AIDS)是由人类免疫缺陷病毒(HIV)引起的疾病,这种病毒会破坏人体原有的免疫系统,导致患者身体抵抗力下降。当免疫系统遭到破坏后,...
【双语】黄金 72 小时!这颗 “后悔药”,能阻断艾滋病毒...
【双语】黄金 72 小时!这颗 “后悔药”,能阻断艾滋病毒...
HIV病毒入侵人体的关键靶点是CD4+T淋巴细胞(人体免疫系统的指挥官),HIV阻断药则通过多靶点作用阻止病毒复制扩散。其核心机制包括:抑...
在今日举行的“全球艾滋病预防重磅进展成果交流会暨Lenacapavir落地发布会”上,全球同类首创、一年仅需给药两次的HIV暴露前预防药...
确诊后,该如何向伴侣开口?(附法律底线与沟通指南)...
日本梅毒扩散!连续4年超1.3万例!必看...
【双语】关于丙肝的10个真相,一次说清!...
正文: 全球约有4000万人感染HIV。在英国,大约有10万人受影响。如果不进行治疗,身体最终将无法抵御病原体或肿瘤细胞。这会导致获得性...
自2003年中国启动抗逆转录病毒治疗(ART)以来,大多数HIV-1感染者的病毒载量(VL)能够得到有效控制,显著延长了艾滋病患者(PLWHA)的预期寿命...
当人类遭遇HIV病毒入侵时,免疫系统会奋力制造一种关键武器——中和抗体。这些抗体如同精准的钥匙,旨在插入病毒表面的锁...
梅毒,这一看似遥远的疾病,实则离我们并不远。它是由梅毒螺旋体感染引发的慢性全身性性传播疾病,在我国属乙类传染病。...
在当今社会,随着医疗水平的进步和科普宣传的深入,我国对艾滋病的防控能力显著提升,大众也普遍掌握了一定的艾滋病预防知识,比如知晓艾...
CD4+ T淋巴细胞(简称CD4细胞)是HIV感染最主要的靶细胞,HIV感染人体后,出现CD4细胞进行性减少,细胞免疫功能受损。在HIV感染的诊断和病...
当经过初筛、复查和疾控中心的确证检测,最终被告知感染HIV时,这无疑是人生中的一个重大转折点。然而,这并不意味着生命的终结,而是一...
什么是艾滋病职业暴露?艾滋病病毒职业暴露是指医务人员在从事诊疗、护理工作中,意外接触到艾滋病病毒感染者或患者的血液、体液,或被...
生活中,“免疫力下降”这个词并不陌生。当频繁感冒、伤口愈合变慢时,我们常会疑虑是否是身体的防御系统出了问题。这背后...
【双语】健康提示丨为什么说丙肝一定要及时治疗?...
【双语】《终结艾滋不是梦:科学、共治与关爱铸就的明天》...
【双语】梅毒疹是几期梅毒会出现的症状?...
【双语】为爱负责!远离艾滋的每一步→...
【双语】目前我国艾滋病预防控制的总体形势如何?...
【双语】科普 | 丙肝的治疗方案是什么?...
【双语】【疾控科普】认识丙肝,守护肝脏健康...
【双语】“肝”货警报:这个沉默杀手,也许正潜伏在你体内!...
【双语】消除艾滋病、梅毒和乙肝母婴传播项目核心知识...
感染HIV后,我的眼睛……...
【双语】【性病防治】艾滋病常见问答:传播途径与预防...
近日,新疆阿瓦提县人民检察院办理的一起故意传播艾滋病案件引发社会广泛关注。经法院审理,被告人麦某因犯故意伤害罪,被依法判处有期...
【双语】身体出现这些信号,警惕梅毒感染!快来看看你有没有?!...
【双语】用“肝”着急,丙肝可防可治愈...
【双语】【健康科普】丙肝科普——丙肝抗体(抗-HCV)检测:筛查肝脏“沉默杀手”的关键第一步...
【双语】认识,预防与关爱,一文读懂艾滋病...
【双语】艾滋病病毒暴露后,还有72小时“自救”!...
“一年前确诊艾滋病感染,服药第3个月的时候,病载就低于检测下限了。继续吃药的话,抗体有可能转阴吗?”今天就来聊一下这个...
【双语】艾滋病防控|一份给所有人的防艾指南...
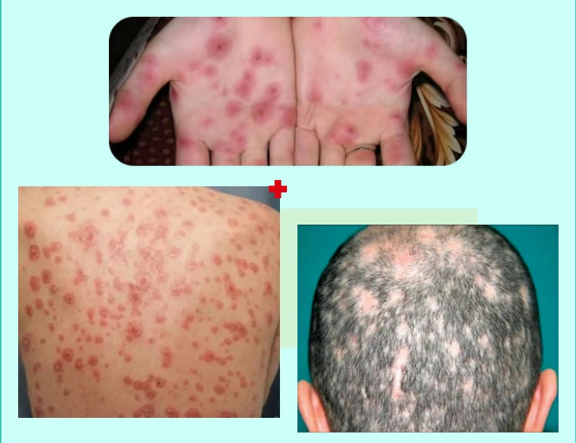
【双语】《小心!这个病会“模仿”十几种皮肤病,很多人中招了还不知道》...
【双语】【疾控科普】知艾防艾,珍爱生命——艾滋病防治知识宣传...
【双语】感染HIV后,法律规定了哪些义务?...
【双语】健康科普:消除“沉默的杀手”!如何预防和诊治丙肝 ...
【双语】【性病防治】艾滋病常见问答:提升对“艾”的认知...
【双语】高危行为后:把握艾滋病黄金阻断期...
【双语】健康科普 | 关于梅毒,必须知道的几件事...
【双语】普法|丈夫隐瞒艾滋10年,夫妻生活无任何防护,法院判了...
【双语】健康科普 | 关于艾滋病这些你要知道这些…… ...
【双语】【性病防治】艾滋病常见问答:基础知识解读...
【双语】科普 | 一文读懂性病...
【双语】防艾不用慌,三道防线守健康...
【双语】【健康警报】梅毒治疗的黄金窗口:在“全面爆发”与“终身伤害”之间...
【双语】别再误会TA!关于乙肝,这些真相你必须知道!...
【双语】科普 | 性病和艾滋病一样吗?它们之间有什么区别? ...
【双语】【性病科普】性病、艾滋病预防知识宣传...
【双语】拜城县:青年学生必看艾滋病预防指南--青春无艾,未来有光!...
【双语】【科普知识】艾滋病前兆的20个症状!急性期像感冒,慢性期已太晚...
【双语】《这个不痛不痒的溃疡,可能是梅毒警报!》...
【双语】2+3健康服务包 | 警惕常见肝病--乙肝...
【双语】【普法宣传】一起来了解与艾滋病相关的法律法规...
【双语】多病共防,守护健康|这些性传播疾病防控知识你知道吗...
【双语】科普 | 艾滋病防治知识...
艾滋病不治疗,到底能活多久?是不是一辈子可以靠“熬”过去?有朋友问了这样的问题:他本人感染艾滋病已经1年多了,因为有熟人在医院和疾...
艾滋病的全称是“获得性免疫缺陷综合征”(英文简称AIDS),由人类免疫缺陷病毒(英文简称也就是人们常说的HIV)所引起。主要表现为免疫系...
HIV病毒载量检测“检测不到”(阴性),而HIV快速检测试纸却仍然呈现“阳性”。有艾滋病感染朋友问这是怎么回事?H...
艾滋病毒的阳性诊断一度被认为是致命的,许多人生活在害怕将病毒传播给他人的恐惧中,这导致了艾滋病毒感染者数十年来的耻辱。虽然抗...
「我可太难了。」柴火坐在我对面,「你说我好不容易找到一个喜欢自己的人,为什么在那方面总是表现不好呢?」这可能存在许多原因。比如...
封面|Unsplash「我可太难了,」柴火告诉淡蓝公益,「好不容易找到一个喜欢自己的人,为什么我在那方面总是表现不好呢?」这存在许多可能性...
警惕“隐形杀手”:梅毒防治全攻略(WHO 2025新规解读)...
“感染HIV病毒后,多久会发展成艾滋病!?感染1年了,一直都在吃药,目前身体状态很稳定,想知道是否有可能一辈子不发展成艾滋病?消停的...
【双语】【疾控科普】知艾防艾,珍爱生命——艾滋病防治知识宣传...
【双语】《梅毒可治,但别拖!一期到三期的惊心演变与防治指南》...
【双语】中国第一大肝病,正在侵袭年轻人...
【双语】科普 | 打破艾滋病的三大认知误区 ...
【双语】HIV≠艾滋病!关于艾滋病的9个核心知识点,一文讲透...
【双语】【科普】社会共治,守正创新,终结艾滋...
【双语】【乙肝小课堂】乙肝的类型与症状:慢性乙肝...
【双语】【健康科普】关于艾滋病的8个常见误区 ...
【双语】【性病科普】早知早防 性病可挡...
【双语】梅毒久拖不治,会不会威胁生命!...
【双语】认识丙肝...
【双语】确诊丙肝后,你应该了解的丙肝知识 ...
【双语】消除艾滋病、梅毒和乙肝母婴传播项目核心知识...
【双语】丙肝拖着不治,到底有多大危害?...
【双语】比艾滋病传染率更高!防艾的同时也要预防性传播疾病!...
【双语】【健康科普】医生最想澄清的七大丙肝谣言,你信了几条?...
梅毒是一种由苍白螺旋体引起的慢性、系统性性传播疾病,可分为后天获得性梅毒和胎传梅毒(先天梅毒)。后天获得性梅毒又分为早期和晚...
谈起艾滋病(AIDS)的时候,很多人仍然会习惯性把它看作是只发生在“年轻人”身上的疾病。对于老年人,年老体衰,机能衰退,遛遛狗...
很多人好奇,HIV病毒进入人体后,身体有没有做抵抗呢?为什么不治疗,病程终将进入到发病期呢?今天就来聊一下这个问题:HIV病毒是如何进入...
医生,我体检查出HIV阳性,CD4只有480,是不是已经得艾滋病了?我是不是快不行了?”经常都能收到这样的私信,问题相似到我恨不得录一段...
在艾滋病防治的道路上,常有不实传言甚嚣尘上。这些传言似是而非,不仅会误导公众,还可能造成不良社会影响,必须引起重视。...
提到HIV,很多人都知道“病毒载量检测不到”是个重要的治疗目标——这意味着病毒复制被有效抑制,传染性大幅降...
【双语】发生高危行为怎么办,有“后悔药”可以吃吗?...
【双语】丙肝可治愈!关于它,你必须知道的5件事...
【双语】艾滋病新增130万!很多人没乱来却无辜中招!公众场合千万坚持“4不碰”原则...
【双语】早防早治,健康常伴 防艾知识小课堂...
【双语】【健康科普】梅毒这 “磨人的小妖精”,藏再深也得揪出来!...
【双语】节假日期间,青年学生更要注意预防性传播疾病...
【双语】艾滋病全知道:现状、症状、预防及一个被忽视的高危群体...
【双语】《丙肝不是绝症:可治愈、能报销,一篇读懂!》...
【双语】检测与预防:艾滋病防治的“双保险”...
【双语】丙肝比乙肝严重?仅一字之差,二者有什么区别?...
【双语】【三病防治 应知应会】之 性病防治...
【双语】青春期性教育之认识性病...
在这个谈“艾”色变的时代,我们往往习惯于用回避来掩盖恐惧。但“检测”二字,本不应与恐惧或道德审判挂钩。它本质上是一种极度理性...
【双语】科普 | 如何让身边潜伏的艾滋病毒(HIV)远离你?...
【双语】《携手抗艾:从预防到关爱,共建健康校园》...
艾滋病高发省份排名...
【双语】为什么艾滋病这么难防?HIV太“狡猾”!...
【双语】有效遏制艾滋,尽早检测是关键!...
【双语】艾滋病毒感染者的预期寿命...
【双语】警惕!丙肝与艾滋病3大传播途径重合,合并感染危害直接翻倍...
【双语】警惕“双重打击”!这些人群务必进行丙肝与艾滋病检测...
【双语】艾滋病有后悔药,高危行为后72小时内可以自救,别乱慌!...
【双语】守护健康第一步:了解HIV检测的那些事儿...
【双语】守护健康第一步:了解HIV检测的那些事儿...
今天(12月1日)是第38个“世界艾滋病日”。日前,联合国艾滋病规划署发布报告显示,当前全球仍有4080万名艾滋病病毒感染者,其中920万人还...
最近几年,越来越频繁地感到一种寒意:艾滋病年轻化了。ta们有男有女,有同性恋,有异性恋,有刚考上大学的学生,也有刚进入社会的青年&hell...
“每次都戴安全套,是不是就完全不需要恐慌艾滋病,性病了!?”“明明戴套了,为什么还是感染了生殖器疱疹?”今天就...
paperplaneTH“ 近年来,全球艾滋病(HIV)综合治疗策略的研究取得了显著进展。这不仅体现在新药研发上,更涵盖了耐药性管理、治疗方...
杭州市493名HIV感染者的调查发现,近1年来,HIV感染者仅4.7%接种流感疫苗,47.7%的有接种意愿,但没有打疫苗。不知道是否能接种,不敢接种...
【双语】小昕话丙——丙肝患者需要忌口吗?...
亲爱的家人: 如果您的家庭中有一位成员是艾滋病(HIV)、梅毒或乙肝(HBV)感染者(即“单阳家庭”),科学的防护措施可以大大降低...
案例分享39岁的李女士是职场女性,也是两个孩子的妈妈,她工作繁忙,家庭琐事多,几乎无暇顾及自己,前段时间,她外阴出现异常红斑,起初以为是...
【双语】【健康科普】传染性乙肝健康科普知识...
消除艾滋病、梅毒和乙肝母婴传播工作是国家重大公共卫生项目,是国家关爱妇女儿童的重要举措,对降低孕产妇死亡率和5岁以下儿童死亡...
消除艾滋病、梅毒和乙肝母婴传播工作是国家重大公共卫生项目,是国家关爱妇女儿童的重要举措,对降低孕产妇死亡率和5岁以下儿童死亡...
消除艾滋病、梅毒和乙肝母婴传播工作是国家重大公共卫生项目,是国家关爱妇女儿童的重要举措,对降低孕产妇死亡率和5岁以下儿童死亡...
【双语】HIV的感染不是结束:早治疗,给未来一个机会...
【双语】健康科普|关于梅毒,这些知识你必须了解...
【双语】安全套脱落,发生高危怎么办?...
【双语】【健康科普】让科学终结恐惧,用包容终结歧视!我们这样认识HIV...
【双语】艾滋病科普知识知多少...
【双语】【性病防治】艾滋病常见问答:基础知识解读...
【双语】别再胡来了 艾滋病正扑向更年轻的一代...
艾滋病病毒(HIV)感染检测的“窗口期”相关问题是艾滋病咨询的热点。比如:“什么是窗口期?”“影响它的因素有哪些?”“...
不同类型艾滋病检测试剂的差别主要体现在检测标志物和灵敏度上,在检测标志物和原理相同的前提下,不同品牌试剂的检测窗口期差异不明...
对于窗口期的了解,有助于我们选择检测时机、解读检测结果、解除感染恐慌。...
...
...
科学家们确认了世界上第十个人在不依赖抗逆转录病毒药物的情况下实现了长期 HIV 缓解。据《自然》杂志报道,该患者接受了干细胞移...
【双语】谈“艾” 无需色变...
对方是按摩店技师,可能也会提供一些擦边服务。只是在她大腿附近蹭一蹭,没有真正进入,期间可能很短时间挨到了对方的下体,有没有风险?&r...
对于窗口期的了解,有助于我们选择检测时机、解读检测结果、解除感染恐慌。...
不同类型艾滋病检测试剂的差别主要体现在检测标志物和灵敏度上,在检测标志物和原理相同的前提下,不同品牌试剂的检测窗口期差异不明...
艾滋病病毒(HIV)感染检测的“窗口期”相关问题是艾滋病咨询的热点。比如:“什么是窗口期?”“影响它的因素有哪些?”“...
在医学技术迅猛发展的今天,HIV感染者的生育问题已不再是遥不可及的梦想。抗病毒治疗(ART)的普及和母婴阻断技术的成熟,让HIV感染者生...
【双语】影响HIV患者长期生存的关键因素有哪些?...
高危第5天突然发烧到39℃,嗓子也疼,是不是已经感染艾滋病了?感染HIV的概率大吗?”今天就来聊一下这个问题:人为什么会发烧?简单来...
HIV感染相关的皮肤病多达22种,如何甄别...
“怀孕2个月查出梅毒,不是老公传染给我的”...
花谁不喜欢?但有一种花大家唯恐避之不及“皮肤之花”——尖锐湿疣尖锐湿疣就像私处长菜花...